TROMBOEMBOLISMO PULMONAR MASIVO EN COVID-19: REPORTE DE CASO CLÍNICO

Massive pulmonary thromboembolism in covid-19: Clinical case report.

https://doi.org/10.47606/ACVEN/MV0110

Delia Carmen Pérez Batallas

https://orcid.org/0000-0003-4282-874

delitaperezbatallas@hotmail.com

 

Daniela Andrea Jaramillo Espinoza

https://orcid.org/0000-0001-6452-1532

danielajaramillo13@hotmail.com

 

Vanessa Maricela Tapia Granizo

 https://orcid.org/0000-0001-7706-5310

vanessatg91@gmail.com

 

Francisco José Mercado Villamar

https://orcid.org/0000-0002-1615-3672

francisj1994@gmail.com

 

Recibido: 19/1/2022                                                                         Aceptado: 25/4/2022

           

RESUMEN

Introducción: La pandemia de COVID-19 actualmente ha demostrado la importancia de una evaluación y un manejo agresivos, al considerar su exposición como una enfermedad viral muy trasmisible que tiene efectos multisistémicos y una alta tasa de mortalidad. Es así que el diagnóstico y el tratamiento de la embolia pulmonar, son desafiantes en circunstancias habituales. Objetivo: Describir un caso clínico de  tromboembolismo pulmonar masivo en covid-19. Reporte de Caso: Paciente de sexo masculino 42 años con antecedentes patológico personales de hipertensión arterial con prueba rápida para  SARS COV-2 IGG e IGM positivo.  Resultados: Se estima que cada año hay 900.000 casos de tromboembolismo venoso (TEV) en los Estados Unidos, 150.000 a 250.000 hospitalizaciones relacionadas con la embolia pulmonar (EP) y 60.000 a 100.000 muertes, lo que la convierte en la tercera causa más común de enfermedades cardiovasculares. Conclusión: Una vez que se diagnostica una embolia pulmonar, es necesaria la estratificación del riesgo para definir el manejo adecuado. Los tratamientos disponibles al momento pueden variar desde anticoagulación sola, trombólisis dirigida por catéter, trombólisis sistémica de dosis completa, embolectomía con catéter, embolectomía quirúrgica y soporte circulatorio mecánico como oxigenación por membrana extracorpórea (ECMO).

 

Palabras claves: COVID-19, tromboembolismo venoso, embolia pulmonar, trombólisis.

________-

1.        Hospital Vicente Paul Pasaje- Ecuador

2.        Hospital Guasmo Sur-Ecuador

*        Autor de correspondencia: delitaperezbatallas@hotmail.com

 

SUMMARY

 

Introduction: The COVID-19 pandemic has currently demonstrated the importance of aggressive evaluation and management, considering its exposure as a highly transmissible viral disease that has multisystem effects and a high mortality rate. Thus, the diagnosis and treatment of pulmonary embolism are challenging under usual circumstances. Objective: To describe a clinical case of massive pulmonary thromboembolism in covid-19. Case Report: A 42-year-old male patient with a personal pathological history of arterial hypertension with a positive rapid test for SARS COV-2 IGG and IGM. Results: There are an estimated 900,000 cases of venous thromboembolism (VTE) in the United States each year, 150,000 to 250,000 pulmonary embolism (PE)-related hospitalizations, and 60,000 to 100,000 deaths, making it the third most common cause of pulmonary embolism. cardiovascular diseases. Conclusion: Once a pulmonary embolism is diagnosed, risk stratification is necessary to define the appropriate management. Currently available treatments may range from anticoagulation alone, catheter-directed thrombolysis, full-dose systemic thrombolysis, catheter embolectomy, surgical embolectomy, and mechanical circulatory support such as extracorporeal membrane oxygenation (ECMO).

 

Keywords: COVID-19, venous thromboembolism, pulmonary embolism, thrombolysis.

 

INTRODUCCION

    El SARS-CoV2 que causa la enfermedad por coronavirus 2019 (COVID-19) ha desencadenado una crisis de salud mundial sin precedentes. Hasta la fecha, se han confirmado más de 185.000 muertes relacionadas con COVID-19. Se ha calculado que la tasa de letalidad llega al 15% en algunos países del mundo. La sintomatología clínica son ausentes o son leves en una proporción sustancial de sujetos que dan positivo al virus. En los pacientes hospitalizados la neumonía bilateral es el hallazgo principal y cerca de un 5% se presenta inicialmente en estado grave, que requiere apoyo médico avanzado o cuidados intensivos. (1)

    La neumonía bilateral, la disfunción endotelial, la inflamación sistémica, la activación de la coagulación, la insuficiencia multiorgánica y el síndrome de dificultad respiratoria aguda se han descrito como características importantes del COVID-19 grave. Los signos de lesión miocárdica están presentes en al menos una cuarta parte de los casos graves. La embolia pulmonar se lo ha postulado como una cauda no reconocida de alta mortalidad en los pacientes con COVID-19. Las estimaciones del riesgo de complicaciones tromboembólicas arteriales y en particular, venosas son aún preliminares y dependen del diagnóstico local y las estrategias preventivas farmacológicas. (2)

    Se ha demostrado la presencia de un vínculo entre la inflamación y el daño orgánico severo en los pacientes con COVID-19. El síndrome de distrés respiratorio del adulto, se caracteriza por daño alveolar difuso que incluye membranas hialinas. El efecto citopático viral de los neumocitos implica daño viral directo. Ahora hay evidencia de que algunos pacientes pueden responder al COVID-19 con una respuesta exuberante la denominada  "tormenta de citocinas". La hipercoagulabilidad también es una característica importante de la inflamación. Las citocinas proinflamatorias están involucradas de manera crítica en la formación anormal de coágulos y la hiperactivación plaquetaria y también juegan un papel importante en la regulación a la baja de importantes vías anticoagulantes fisiológicas (3) Es por ello que el propósito de esta investigación es describir un caso clínico de tromboembolismo pulmonar masivo en covid-19.

   Varios estudios de laboratorio y de imágenes publicados en varias revistas encontraron un mayor riesgo de complicaciones trombóticas en pacientes con infección por COVID-19. Hay grandes estudios en China que investigan el curso clínico de los pacientes con COVID-19. Sin embargo, no hubo evidencia de la presencia de trombosis, EP o complicaciones trombóticas arteriales: un resumen de un informe sobre 72 314 casos de COVID-19 del Centro Chino para el Control y la Prevención de Enfermedades mencionó solo el rango de edad de los pacientes afectados con 14,8% en pacientes ≥80 y que se produjo un curso crítico en el 5% de los pacientes con una tasa de mortalidad del 49%. (4).

 

REPORTE DE CASO

   Paciente de sexo masculino 42 años de edad  con antecedentes patológico personales de hipertensión arterial, apendicetomía hace 4 años que presenta cuadro clínico de 21 días de evolución caracterizado por disnea de moderados esfuerzos, tos no productiva, fiebre, cefalea. Cuadro clínico que se exacerba con disnea de reposo, hipoxemia por lo que se decide intubación orotraqueal y ventilación mecánica, que debido a la hipoxemia severa es colocado en decúbito prono, con lo que mejora la oxigenación, hemodinámicamente estable sin soporte vasopresor, en la TAC de tórax de ingreso compromiso pulmonar marcada e imagen vidrio esmerilado (Corads-5) con prueba rápida para  SARS COV-2 IGG e IGM positivo.  

 

   A las 48 horas de ingreso en UCI presenta de forma súbita deterioro hemodinámico e hipoxemia refractaria que no mejoraba, a pesar de encontrase en decúbito prono y con parámetros ventilatorias adecuados. Se procedió a realizar ecocardiograma (Fig. 1) que reporta ventrículo izquierdo con  diámetros conservados, motilidad conservada, función sistólica FEVI 61% por Simpson, cavidades derechas dilatadas VD 4.2 basal,  TAPSE 1 cm, onda S 0.07 m/seg, vena cava 1.7 cm, en el eco doppler llenado diastólico con patrón normal, insuficiencia tricuspidea moderada Vmax 3.2 m/seg, PSP aproximada 45 mmhg, disfunción sistólica del VD, dilatación de cavidades derechas.

  

Figura 1. Ecocardiograma previo a tratamiento fibrinolítico. A Disfunción sistólica de VD con TAPSE 1, B Insuficiencia tricúspidea con Vmax 3,2 m/seg , C Dilatación de cavidades derechas

 

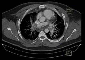
Bajo ese contexto sospechando TEP para confirmar el diagnóstico se realiza Angio-tc de vasos pulmonares (Fig.2 ), que mostro falta de captación de medio de contraste en arteria pulmonar derecha , en cuanto a los exámenes de laboratorio lo más relevante fue troponina 4,7630 u/l , dímero-d 54490,00 ng/ml , ferritina 27300,00 ng/ml. Se procedió a iniciar tratamiento fibrinolítico, que al no contar con r-tpa (alteplase) se usó estreptoquinasa 1.500.000 UI  que fueron administradas de forma intravenosa en una hora, seguida de anticoagulación con enoxaparina, después se evidencio mejoría en la oxigenación y hemodinámica, a las 24 horas se realiza nuevo rastreo ecocardiográfico (Fig. 3) en el cual existe mejoría de función ventricular derecha.

 

 

Figura 2. Angiotomografía pulmonar. Se evidencia no captación del medio de contraste en la arteria pulmonar derecha.

 

Figura 3. Ecocardiograma Post-fibrinólisis. A función sistólica de VD adecuada TAPSE 1,9. B Cavidades derechas normales.

DISCUSION  

   La infección del tracto respiratorio se lo ha considerado como un factor de riesgo conocido para que se presente embolia pulmonar en pacientes hospitalizados. En diversos estudios publicados recientemente, se informó que la incidencia de embolismo pulmonar en pacientes con COVID-19 estaba entre el 23-30 % en aquellos a los que se les realizó una angiografía por TC pulmonar. (5)

   En pacientes diagnosticados de COVID-19 están emergiendo complicaciones trombóticas que contribuyen a una morbimortalidad significativa. La embolia pulmonar, la trombosis venosa profunda, el infarto de miocardio y el ictus isquémico son ejemplos de complicaciones descritas. Publicaciones recientes proponen inflamación excesiva, hipoxia, inmovilización y coagulación intravascular difusa en el contexto de la infección por COVID-19 como contribuyentes a un estado protrombótico. (6)

   Realizar una historia clínica completa constituye el primer paso en la sospecha de embolia pulmonar aguda. Los hallazgos en el examen físico pueden incluir taquicardia, taquipnea, distensión venosa yugular. Los hallazgos radiográficos de embolismo pulmonar rara vez se detectan en la radiografía de tórax, pero si están presentes, incluyen la joroba de Hampton (opacidad del espacio aéreo en forma de cuña indicativa de infarto) o el signo de Westermark (arteria pulmonar proximal prominente con reducción de las marcas de los vasos sanguíneos periféricos). El electrocardiograma, el signo más común de embolismo pulmonar es taquicardia sinusal o fibrilación auricular; sin embargo, algunos signos bien descritos, aunque insensibles, de sobrecarga del corazón derecho incluyen S1Q3T3, inversiones de la onda T precordial anterior y elevación del segmento ST precordial inferior o anterior. (7)

    Una vez realizado la historia clínica y un examen físico completos, el siguiente paso en el diagnóstico es determinar la probabilidad de embolia pulmonar usando 2 escalas de decisión clínica la puntuación de Ginebra y la puntuación de Wells. Estos clasifican la probabilidad de embolismo en baja, intermedia o alta probabilidad (o EP probable o improbable). La prueba del dímero D es muy sensible y puede descartar la embolia pulmonar en pacientes con probabilidad baja o intermedia.  La prueba del dímero D ajustada por edad y riesgo tiene una especificidad más alta que el límite típico de 500 μg / L y puede ser útil para excluir la embolia pulmonar en aquellos pacientes con probabilidad baja o improbable de embolia pulmonar. (8)

   La angiografía por tomografía computarizada de tórax contrastada es el estándar de oro para el diagnóstico de la embolia pulmonar debido a su perfil de sensibilidad y especificidad, así como a su amplia disponibilidad en los hospitales. La ecocardiografía transtorácica debe de considerarse en pacientes de mayor riesgo con embolismo pulmonar, incluidos los pacientes con alta probabilidad según puntuación de Ginebra y la puntuación de Wells, pero con inestabilidad hemodinámica e incapacidad para trasladarse al departamento de imágenes y realizarse una angiotomografía de tórax. La ecocardiografía transtorácica proporciona una evaluación de la estructura y función del ventrículo derecho (VD), así como una evaluación de trombos en tránsito intracardíaco. El ventrículo derecho "anormal" puede incluir dilatación del corazón derecho, compresión del tabique interventricular, aumento de la regurgitación tricúspidea, hipocinesia del VD o presencia del signo de McConnell. La ecografía doppler de la pierna puede ser un método complementario para investigar la evidencia de trombosis venosa profunda cuando se sospecha un embolismo pulmonar y no se pueden realizar imágenes vasculares pulmonares. (9)

   Una vez que se ha confirmado el diagnostico de embolismo pulmonar, es necesaria la estratificación del riesgo para determinar la terapia adecuada. La estratificación del riesgo se basa principalmente en la capacidad del ventrículo derecho para superar el aumento de la poscarga causada por el trombo. La trombólisis sistémica se administra para lograr una resolución rápida del coágulo y la restauración de la perfusión pulmonar, mejorando así la relación ventilación / perfusión y de manera importante, aliviando la poscarga del ventrículo derecho, reduciendo la resistencia vascular pulmonar y mejorando así la hemodinámica. Sin embargo, la trombólisis sistémica trae consigo con un aumento de las complicaciones hemorrágicas, incluida la hemorragia intracraneal. (10)

 

CONCLUSION

    El COVID-19 está asociado con un estado de hipercoagulabilidad y los pacientes infectados que presentan factores de riesgo adicionales tienen un peor pronóstico. Los datos iniciales sugieren tasas elevadas de tromboembolismo en pacientes con y sin tromboprofilaxis farmacológica estándar. Los datos limitados también sugieren que la trombosis microvascular pulmonar localizada puede desempeñar un papel importante en el desarrollo de la insuficiencia respiratoria progresiva. La mayor parte de la evidencia está limitada por pequeños estudios retrospectivos y la verdadera prevalencia de trombosis en pacientes con COVID-19 aún debe evaluarse en estudios más grandes.

   Las complicaciones graves de COVID-19 ocurren con mayor frecuencia en pacientes mayores con comorbilidades y este grupo de personas también tiene un mayor riesgo de trombosis relacionado con la edad. El aumento del dímero D se asocia con un alto riesgo de trombosis en COVID-19, lo que sugiere una mayor producción de trombina y activación de la fibrinólisis.

 

REFERENCIAS

x

1.

Zhou F, Yu T. Clinical course and risk factors for mortality of adult inpatients with COVID-19 in Wuhan, China: a retrospective cohort study. Lancet. 2020; 395(10229).

2.

Han H, Yang L. Prominent changes in blood coagulation of patients with SARS-CoV-2 infection. Clin. Chem. Lab. Med. 2020; 58(7).

3.

Gralinski L, Sheahan T. Complement activation contributes to severe acute respiratory syndrome coronavirus pathogenesis. MBio. 2018; 9(5).

4.

Zunyou W. Characteristics of and important lessons from the coronavirus disease 2019 (COVID-19) outbreak in China. Summary of a report of 72 314 cases from the Chinese Center for Disease Control and Prevention. JAMA. 2020; 13(1239–1242).

5.

Leonard-Lorant I. Embolism in COVID-19 Patients on CT Angiography and Relationship to D-Dimer Levels. Radiology. April 2020;(201561).

6.

Poyiadji N, Cormier P. Acute Pulmonary Embolism and COVID-19. Radiology. 2020 May; 14(201955).

7.

Ancion A, Lopez R. Acute pulmonary embolism: about paradox, judgments and evidences. Rev Med Liege. 2018; 73(5-6).

8.

Righini M, Van Es J. Age-adjusted D-dimer cutoff levels to rule out pulmonary embolism: the ADJUST-PE study. JAMA. 2014; 311(11).

9.

Casazza F, Bongarzoni A. Regional right ventricular dysfunction in acute pulmonary embolism and right ventricular infarction. Eur J Echocardiogr. 2005; 6(1).

10.

Kearon C. Antithrombotic therapy for VTE disease: CHEST guideline and expert panel report. Chest. 2016; 149(2).

x